Early Orthodontic Care & MARPE Treatment
October 27, 2025
Guided Growth. Personalized Care. Proven Results.
At Inspired Orthodontics, we believe that timing and precision are everything when it comes to creating healthy, functional smiles. Dr. Bockow provides advanced treatment options for growing children and young adults, focusing on airway health, facial balance, and long-term stability through individualized, evidence-based care.

EARLY INTERVENTION FOR GROWING KIDS
Orthodontic problems don’t always wait for teenage years to appear. By evaluating growth and development early, Dr. Bockow can detect issues that may affect how your child breathes, sleeps, and develops facially.
We look beyond just straight teeth—our goal is to guide the jaw and airway as they grow. Early treatment can:
- Improve nasal breathing and sleep quality
- Create space for permanent teeth to erupt properly
- Prevent crossbites, crowding, or asymmetry
- Support balanced facial growth and a healthy airway
Through growth guidance and light, custom appliances, we help kids avoid more invasive procedures later in life.
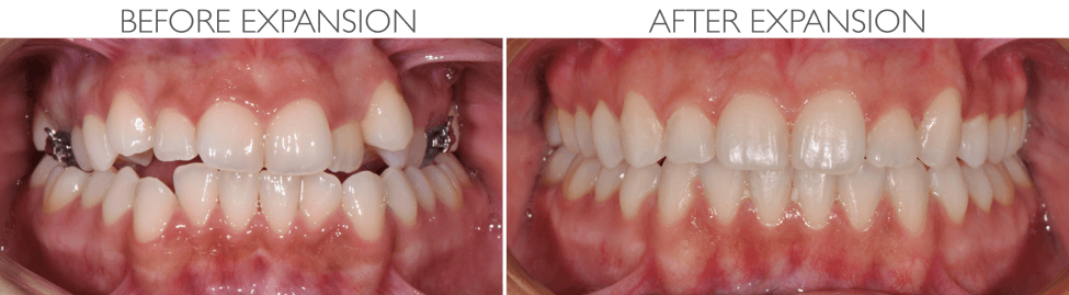
CUSTOM MARPE FOR MATURE PATIENTS
For teens and adults with underdeveloped upper jaws or airway concerns, Dr. Bockow offers custom MARPE (Miniscrew-Assisted Rapid Palatal Expansion). Unlike traditional expanders, MARPE uses precise digital planning and bone-anchored expansion to achieve results even after growth is complete.
This advanced approach helps:
- Widen the upper jaw and improve nasal airflow
- Reduce crowding and crossbites
- Enhance facial symmetry and bite function
- Support airway and breathing improvements
Each MARPE is customized to the patient’s anatomy for maximum comfort and effectiveness. Because of this expertise, patients frequently travel from across the country for Dr. Bockow’s specialized treatment.

WHAT SETS INSPIRED ORTHODONTICS APART
Few orthodontists combine airway-focused philosophy with advanced technology and clinical precision. Whether guiding a child’s growth or expanding the palate in adulthood, Dr. Bockow designs every treatment with health, balance, and comfort in mind.
Schedule a consultation to learn how early guidance or custom MARPE can improve your long-term health and confidence.
At Inspired Orthodontics we love caring for our patients! Please contact us to make an appoinment with our orthodontists in Seattle and Bellevue.
We offer our patients in Seattle braces, Seattle orthodontic expansion, Seattle Invisalign, Seattle sleep apnea treatment, and Seattle surgical orthodontic treatment. We offer our patients in Bellevue braces, Bellevue orthodontic expansion, Bellevue Invisalign, Bellevue sleep apnea treatment, and Bellevue surgical orthodontic treatment.